Tejido adiposo

En el organismo los lípidos se almacenan en 2 tipos de tejido adiposo: el tejido adiposo blanco (TAB) y el tejido adiposo marrón (TAM). El TAB es el principal tejido de almacén de energía del organismo, además de atribuírsele la función de aislamiento y protección mecánica para algunos órganos vitales. Los adipocitos maduros del TAB.
Tejido Adiposo

Son múltiples las características biológicas que pueden alterarse en el tejido adiposo en condiciones de obesidad. Estas características están íntimamente asociadas entre sí, pero serán presentadas de forma aislada, a fin de permitir una mejor comprensión de la fisiología (o fisiopatología) del tejido adiposo en condiciones de obesidad.
¿Qué son las vísceras y por qué son importantes?

Un experto que desconocía la identidad del paciente utilizó el corte obtenido para medir la distribución de la grasa abdominal: se utilizó un cursor en flecha para trazar el área de TAV delimitando la capa muscular de la pared abdominal 20 y se identificó el tejido adiposo en las áreas con valores de atenuación de entre −150 y −50.
SOS BIOLOGIA CELULAR Y TISULAR TEJIDOS. ADIPOSO

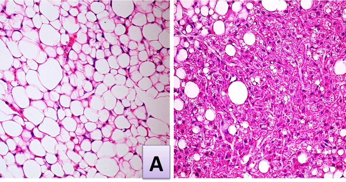
Los hallazgos histológicos evidenciados en el tejido adiposo fueron: a.- Alteración de la muestra de adipocitos, b.- Disrupción de la pared del adipocito y c.- Disminución del número de adipocitos por campo . Se determinó que existieron cambios en el tejido adiposo cuando se presentaron estos 3 hallazgos en las muestras.
HISTOLOGÍA HISTOLOGÍA

El tejido adiposo es un tejido conectivo especializado que consiste en células ricas en lípidos llamadas adipocitos. Como comprende alrededor del 20-25% del peso corporal total en individuos sanos, la principal función del tejido adiposo es almacenar energía en forma de lípidos (grasa). Según su ubicación, el tejido graso se divide en.
Tejido adiposo características, funciones, estructura, tipos

los 9 y 13 años de edad. La tasa de proliferación del tejido adiposo decrece en la adolescencia y se presenta un equilibrio relativo hasta la adultez. Normalmente la expansión del tejido adiposo se debe principalmente a hipertrofia de las células ya presentes (aumento del tamaño celular), sin un aumento en el número de células (hiperplasia).
Adipose tissue stock image. Image of eosin, micrograph 117240715
tejido Adiposo Entre Las Vísceras Importantes. Todos los aficionados a los crucigramas conocen ese momento de buscar una respuesta concreta, no pudiendo avanzar posteriormente con el crucigrama. Ahora que has llegado a nuestro sitio, ten claro que has encontrado el lugar adecuado al que acudir cuando tengas estos momentos difíciles.
SOS BIOLOGIA CELULAR Y TISULAR ADIPOSO
Funciones del tejido adiposo. Las principales funciones del tejido adiposo son: Funcionar como sitio de reserva de energía en forma de triacilgliceroles (lípidos) y también de moléculas de agua. Ser una fuente de hormonas para el control metabólico celular, específicamente de una hormona conocida como leptina, que inhibe la ingesta de.
Tejidos Conectivos Laboratorio de biología Interactiva

Introducción. La obesidad se asocia con resistencia a la insulina y enfermedad cardiovascular arterioesclerótica; sin embargo, este riesgo depende de la distribución del tejido adiposo en el cuerpo y principalmente del incremento y acumulación ectópica de grasa visceral 1, 2, 3.El aumento del tejido adiposo visceral (TAV) conlleva no solo un mayor tamaño del adipocito, sino también una.
Cuales Son Las Celulas Del Tejido Adiposo Consejos Celulares

El tejido adiposo blanco, además de la localización según el sexo, también se localiza en diferentes partes del cuerpo, como entre las vísceras (intestinos, riñones, hígado, musculo, etc.) y específicamente debajo de la piel. La ubicación del tejido adiposo a nivel de las vísceras puede dar origen a diversas enfermedades entre las que.
Tejido adiposo tipos, características, función

C R A S I T U D. « Anterior Todas Rompecabezas 3 Respuestas Siguiente ». Tejido adiposo entre las vísceras importantes Respuestas Esta página le ayudará a encontrar todas las respuestas de CodyCross de todos los niveles. A través de los trucos y soluciones que encontrará en este sitio usted será capaz de pasar cada pista de crucigrama.
Anatomía de los adipocitos. Estructura de la célula grasa. Tejido adiposo. Ilustración vectorial

El tejido adiposo es un tipo de tejido conectiv o especializado constituido por células ricas en lípidos llamadas adipocitos. Este tejido representa del 20 al 25% del peso total corporal en individuos sanos, y su función principal es el almacenamiento de energía en forma de lípidos (grasa). Dependiendo del lugar donde se localice la grasa.
Tejido adiposo características, funciones, estructura, tipos

La profundidad de la capa de tejido adiposo y la localización anatómica del mismo determinan importantes diferencias en su expresión proteica.. los cambios anatómicos observados en su expresión podrían suponer un vínculo entre la acumulación local de tejido adiposo y sus comorbilidades mediadas por estrés oxidativo . Las proteínas.
Tarea 18 diferentes tipos de tejido adiposo Cuadro comparativo de los diferentes tipos de
Tejido adiposo visceral. Sinónimo (s): Grasa intrabdominal, Grasa visceral. Tejido grasoso localizado en una región profunda del abdomen y alrededor de los órganos internos. La distribución del tejido adiposo visceral podría estar afectada por la infección por el VIH o por el uso de ciertos medicamentos antirretrovirales (ARV).
Tejido adiposo

El tejido adiposo esta ampliamente representado en todo el cuerpo. Distribuido a nivel subcutáneo, relacionado con las vísceras del sector abdominal, se encuentra en gónadas, riñones, entre los músculos, en la, medula ósea, en las articulaciones etc. La disposición de dicho tejido varía según la edad y el sexo de las personas.
Guia histologiaTejido Adiposo StuDocu
Introducción. La obesidad se asocia con resistencia a la insulina y enfermedad cardiovascular arterioesclerótica; sin embargo, este riesgo depende de la distribución del tejido adiposo en el cuerpo y principalmente del incremento y acumulación ectópica de grasa visceral 1-3.El aumento del tejido adiposo visceral (TAV) conlleva no solo un mayor tamaño del adipocito, sino también una.